近日,八十多岁的于女士来到烟台市奇山医院疼痛科就诊。于女士腰痛及双下肢疼痛多年,完善腰椎核磁检查,显示多节段椎间盘膨出以及黄韧带增厚,确诊为腰椎间盘突出。
由于患者年龄偏大,且害怕做开放手术,经过全面评估后,医院疼痛科主任马勇为其行椎间盘臭氧溶盘术治疗。术后,于女士腰痛及双下肢疼痛明显缓解,于女士表示没想到仅用几根针就解决了多年的疼痛。
那什么是臭氧溶盘术,它为何如此“神奇”,专家为大家详细解答。
什么是臭氧溶盘术?
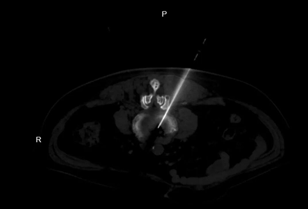
首先,我们把椎间盘比作一个充满果冻的轮胎。当“轮胎”破裂,“果冻”突出压迫神经,就会引发疼痛。而臭氧溶盘术在高清影像引导下,将一根仅1毫米的穿刺针精准送达突出部位,通过氧化、抗炎、消融三重作用,快速减轻神经压迫,修复受损组织,被誉为“绿色疗法”。

氧化消融:注入医用臭氧,迅速氧化髓核内的蛋白多糖,使突出的髓核组织脱水、萎缩、体积减小,从而解除对神经根的压迫。
消炎镇痛:臭氧本身具有强大的抗炎、镇痛作用,能有效消除神经根周围的无菌性炎症和水肿,打破“疼痛—痉挛—缺血”的恶性循环。
改善血氧:促进局部氧气供应和血液循环,为受损组织的修复创造良好环境。
哪些情况适合做臭氧溶盘术?
包容性椎间盘突出:纤维环未完全破裂,髓核被包裹着突出。
轻至中度的突出:突出物大小适中,尚未完全脱出或游离。
明确神经根受压症状:存在与影像学检查相符的腿痛、麻木、无力等根性症状。
保守治疗无效者:经过正规药物治疗、理疗、康复锻炼等4-6周后,症状改善不明显。
无法接受传统手术者:希望避免开放手术,或因身体状况无法耐受传统手术。
臭氧溶盘术的优势
相比传统开放手术,臭氧溶盘术优势显著:
1.超微创,创伤极小:仅约1mm穿刺针孔,几乎不留疤,不出血,痛苦小。
2.精准高效,安全性高:在C型臂或CT实时引导下操作,直达病灶,不伤及正常组织,对脊柱稳定性无影响。
3.起效迅速,恢复快:治疗后症状缓解快,住院时间短(通常1-3天),能更快回归工作和生活。
4.可重复治疗:若其他节段出现问题,可再次进行治疗。
臭氧溶盘术为符合适应症的椎间盘突出患者提供了一个有效、安全、恢复快的优质选择。如果您或家人正受腰椎间盘突出的困扰,想了解自己是否适合微创介入治疗,欢迎来烟台市奇山医院疼痛门诊评估。

世界无烟日丨吸烟对身体的危害 一定要知道
图解丨谈“癌”色变?带你正确认识肺癌