“没想到拔个额外牙这么快,小朋友几乎没什么感觉,术后也不怎么肿,太感谢医生了!”刚完成手术的小林的妈妈难掩轻松与喜悦。让小林妈妈赞不绝口的,正是烟台市口腔医院口腔颌面外科团队采用的前鼻棘翻瓣法拔除上颌额外牙技术。
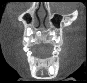
8岁的小林在一次口腔检查中偶然发现上颌藏有一颗额外牙齿。通过检查,医生清晰地看到一颗完全倒置的额外牙隐藏在上颌前牙区,紧邻正常牙根、鼻腔底部和鼻腭神经等重要结构。这颗牙齿位置特殊,传统手术方法存在视野受限和损伤风险。

医疗团队为小林量身定制了“前鼻棘翻瓣”微创手术方案。以前鼻棘为精准定位标志,结合CBCT影像导航,通过微小切口和超声骨刀精细操作,就能安全完整地取出埋伏牙,最大限度地保护了周围重要结构。术后小林恢复迅速,面部肿胀轻微,正常牙齿发育未受影响,定期复查显示恢复效果理想。
认识上颌额外牙
上颌额外牙,俗称“多生牙”,是口腔里常见的牙齿发育异常。它像一颗“不速之客”,常常隐藏在上颌前牙区的骨头里,早期不易被发现。但如果长期存留,可能会导致邻牙龋坏、牙根吸收、牙齿排列不齐等问题。因此,定期进行口腔检查,尤其是儿童在替牙期进行筛查,对于早发现、早处理额外牙至关重要。
技术优势:为何选择“前鼻棘法”?
传统拔除上颌前牙区高位额外牙的方法主要有两种:“唇侧入路”和“腭侧入路”,但它们都存在一定局限——要么术后肿胀明显、恢复慢;要么操作视野受限、易损伤重要神经血管,特别是对于靠近前鼻棘的额外牙,传统方法操作难度大,且对医生经验要求极高。
相比之下,“前鼻棘翻瓣法”展现出了显著优势:
精准定位:以前鼻棘这一稳定解剖标志为“导航”,结合CBCT三维影像,能够精确定位额外牙的位置,避免“盲找”。
微创无痛:采用超声骨刀进行精细的骨组织切割,如同“微雕手术”,对周围软组织和神经损伤极小。
恢复快速:术后肿胀轻微,伤口愈合快,大约一周左右即可基本恢复。
安全保形:最大程度保留了上颌骨的正常骨质和牙龈形态,有效避免了术后可能出现的面部塌陷或牙齿排列异常等问题。
烟台市口腔医院的这项微创技术,以更小的创伤、更精确的操作和更快的恢复,为患者特别是儿童患者,提供了更安全、更舒适的治疗选择。专家提醒,家长应关注孩子的牙齿替换情况,定期进行口腔检查,一旦发现异常,应及时寻求专业诊疗。
科室地址:莱山区逛荡河东路1866号7楼
科室电话:0535-6089371;0535-6087366

世界无烟日丨吸烟对身体的危害 一定要知道
图解丨谈“癌”色变?带你正确认识肺癌